《Journal of Oral and Maxillofacial Surgery》 ›› 2026, Vol. 36 ›› Issue (1): 74-78. doi: 10.12439/kqhm.1005-4979.2026.01.013

• Case Report • Previous Articles    

Mucoepidermoid carcinoma of the palate presenting as an erythematous lesion: A case report and literature review

ZHU Ning1(), ZHAO Guile2, BAO Mingzhe2, ZHANG Gaowei2, LI Chunjie2, GAO Ning2()   

  1. 1. Department of Oral and Maxillofacial Surgery, Daqing Oil Field General Hospital, Daqing 163001
    2. Department of Head and Neck Oncology, West China Hospital of Stomatology, Sichuan University, Chengdu 610041, China
  • Received:2024-08-21 Accepted:2024-12-26 Published:2026-02-28 Online:2026-02-13
  • Contact: GAO Ning

红斑样腭部黏液表皮样癌1例报告及文献复习

朱宁1(), 赵贵乐2, 包明哲2, 章杲威2, 李春洁2, 高宁2()   

  1. 1. 大庆油田总医院口腔颌面外科,大庆 163001
    2. 四川大学华西口腔医院头颈肿瘤外科,成都 610041

Abstract:

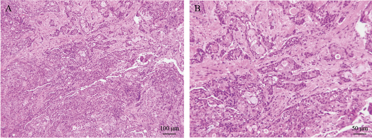
Mucoepidermoid carcinoma (MEC) typically originates from major salivary glands but may also arise primarily from minor salivary glands in the palate. It can show diverse clinical symptoms, such as masses, pain, or ulcers. However, cases presenting primarily with mucosal erythema are relatively rare. This article reports a case of palatal MEC that presented erythema as the main clinical feature, and discusses its clinical characteristics, diagnosis, and treatment.

Key words: mucoepidermoid carcinoma, palate, mucosal erythema, diagnosis

摘要:

黏液表皮样癌(mucoepidermoid carcinoma,MEC)通常起源于大唾液腺,但亦可原发于腭部小唾液腺。其临床表现多样,常见症状包括肿块、疼痛或溃疡,但以黏膜红斑为主要表现者较为罕见。本文报道1例以红斑为主要表现的腭部MEC病例,并对其临床特点、诊断和治疗进行探讨。

关键词: 黏液表皮样癌, 腭部, 黏膜红斑, 诊断